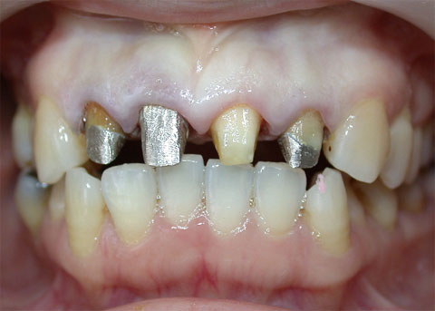
シミュレーションは、治療前の画像を利用して、治療後の想定を患者さんにイメージしていただく上で、大変有効です。
このような、前歯6本の修復後のシミュレーションを行います。

1.まず、シミュレーション箇所を四角で選択し、部位を「2−2」を指定し、6前歯用のサンプルから適当なものを選択いたします。

2.スポイトツールを使用して、色調が簡単に合わせられます。

3.歯の長さや幅、位置などを患者さんと相談しながら、いろいろ変えてみてください。

このように、簡単にシミュレーションが可能です。
先生の症例の適当なものの中から、簡単にシミュレーション用のサンプルを作成することが出来ますので、インプラントや特殊な治療のシミュレーションも実情に合わせて行うことが可能です。
また、日常使用しているカメラで撮影したものをサンプルとして利用しますので、シミュレーションの際にも画像に違和感が少なくできます。
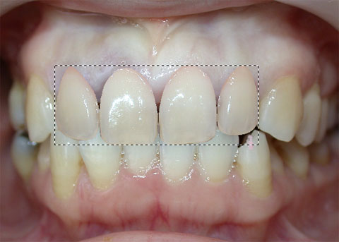
下の画像は、シミュレーションに使用する歯の一部を範囲指定している様子です。
